FOTO/VIDEO Zastupnik u parlamentu se skinuo gol
U Meksičkom parlamentu član vladajuće stranke PRI, Lendi Bezunza, prevezen je u bolnicu s oštećenom rožnjačnom oka nakon sukoba s Karenom…
OGLAS
U Meksičkom parlamentu član vladajuće stranke PRI, Lendi Bezunza, prevezen je u bolnicu s oštećenom rožnjačnom oka nakon sukoba s Karenom…
Prvi snijeg ove zime zabijelio je u četvrtak Jeruzalem i Betlehem, što je uz snježnu radost tim gradovima donijelo i dosta nevolja, javili su…
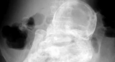
Kada je 82-godišnja žena došla na pregled zbog bolova u trbuhu, liječnici u bolnici u Bogoti otkrili su rijedak slučaj litopediona, odnosno okamenjenog djeteta, javlja AP.Zbog čega je…
Matea Rezić je u travnju ove godine na ušću Neretve slučajno pronašla napuknutu bocu s porukom koja je 1985. godine poslana iz daleke Kanade. U poruci, koja je 28 godina plutala, pisalo…
Kako iste ne bismo lajkali i označavali da nam se sviđaju, razvija se novi gumb koji će ponuditi mogućnost suosjećanja. Ukoliko bi netko objavio status uz koji bi koristio tužni smajlić (iz…
Braća, sestre, ujaci, tete, očevi i kćeri seksali su se međusobno desetljećima, zbog čega su se rađala djeca s deformacijama i teškim hendikepima. Samo jedna petogodišnjakinja od njih…
Kada je došao na mjesto poglavara Katoličke crkve u ožujku 2013. godine, odmah je prepoznat od strane javnosti kao drugačiji od svojih prethodnika. Iako obnaša dužnost Pape tek 9…
...upersnažnim ljepilom premazao WC daske u dućanu Home Depot. Ali, policija nije sigurna je li ona možda sama to napravila.Prošla su gotovo dva tjedna otkad je Illyanna De La Keur spa&scaron…
TAMO SE ZAMRZAVAJU OČI, NOS I PLUĆA U srpnju ove godine, temperatura je dostigla sličan pad na Antarktici kada je iznosila minus 91,2 stupnja. Rekordnu hladnoću otkrili su znanstvenici iz…
Najvažnije pravilo jest da je uvijek kriv onaj skijaš koji se nalazi više na brdu i koji dolazi s leđa. On je taj koji mora prilagoditi brzinu i koji mora paziti na smjer kretanja…
Promotivni spot proizvođača Four seasons prikazuje mladi par u apoteci, kako traži savršeni kondom. Pogledajte zabranjenu reklamu za kondome koja prikazuje, pa ono za šta se kondomi i…
Mabe i Clark su prijatelja prebacili u ured preuređen u bolničku sobu, te ga uvjerili da je 2023. godina i da je prvi put otvorio oči otkako je u alkoholiziranom stanju izazvao tešku prometnu…
Kada je u pitanju konzumiranje alkohola, tu prednjači Zapadnohercegovačka županija u kojoj čak 59% stanovništva konzumira alkohol. Najveća konzumacija alkohola bilježi se kod starosnih skupina…
Ekipa našeg portala danas je boravila u Metkoviću, i iz znatiželje, i naravno ne samo nzbog toga uplatili smo listiće za narednih par kola izvlačenja. Na uplatnom mjestu Hrvatske lutrije…
Andrew Sosa, 21-godišnji mladić, uhićen je zbog zlostavljanja djeteta. NBC javlja da je beba imala samo četiri mjeseca. Iz automobila ju je izvadio policajac koji nije bio na dužnosti, razbiv…
Par iz okolice Nashvillea dobio je puno više od onoga što je naručio u McDonald'su - papirnatu vrećicu s tisućama dolara, pišu američki mediji. Lokalna televizijska mreža WTVF…
Palac je Marsov prst. Neobičan odabir za nošenje prstena kojim izražavate hrabrost, prodornost, ambiciju i sposobnost da se izborite za svoje želje. Kažiprst je Jupiterov prst. Ako vam…
Ona je na društvenoj mreži "Twiter" odala počast preminulom bivšem predsjedniku Južnoafričke republike, Nelsonu Mendeli, i na način koji je privukao pozornost cijele regije. Ava…
1. Katy Perry: 46.617.4792. Justin Bieber: 46.553.9403. Lady Gaga: 40.414.4594. Barack Obama: 39.339.5315. Taylor Swift: 36.305.6686. Britney Spears: 33.802.5507. Rihanna…
...da neki ljudi ne pokazuju nimalo kulture ili osjećaja prema svijetu i događajima oko sebe. Vozeći se na brodu ispod Brooklynskog mosta u new Yorku, jedna djevojka odlučila je napraviti selfie…
OGLAS