Fetus u trbuhu ostao 40 godina!
Kada je 82-godišnja žena došla na pregled zbog bolova u trbuhu, liječnici u bolnici u Bogoti otkrili su rijedak slučaj litopediona, odnosno okamenjenog djeteta, javlja AP.
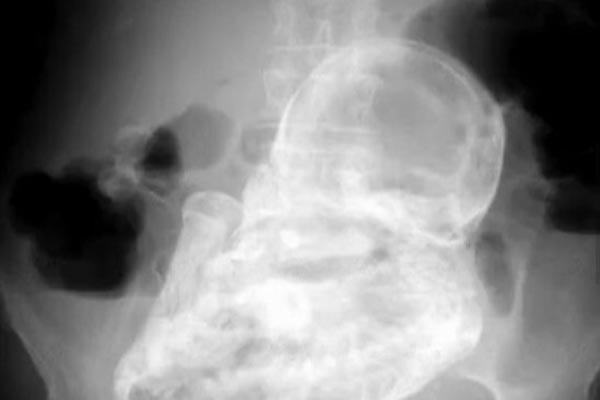
Zbog čega je točno boli trbuh otkriveno je rendgenskim pregledom. ‘Pacijentica je primljena 8. prosinca s dijarejom, a liječnik koji ju je pregledavao otkrio je kod nje nešto neobično te ju je poslao na rendgensko snimanje', rekao je dr. Kemer Ramirez iz bolnice u Bogoti.
Zbog čega je točno boli trbuh otkriveno je rendgenskim pregledom. ‘Pacijentica je primljena 8. prosinca s dijarejom, a liječnik koji ju je pregledavao otkrio je kod nje nešto neobično te ju je poslao na rendgensko snimanje', rekao je dr. Kemer Ramirez iz bolnice u Bogoti.
Ondje su otkrili da se u njezinom abdomenu nalazi ‘kameno dijete', odnosno fetus koji je preminuo za vrijeme izvanmaternične trudnoće. U slučajevima kada je fetus prevelik da bi ga tijelo razgradilo i apsorbiralo, on se kalcificira, čime se sprječava infekcija.
Pacijentica je prebačena u drugu bolnicu u kojoj je podvrgnuta operaciji odstranjivanja fetusa.
Tekst se nastavlja ispod oglasa
Reuters/dnevnik.hr