Prvi put u BiH: U SKB Mostar izveden složen zahvat na aorti
U Sveučilišnoj kliničkoj bolnici Mostar uspješno je izveden iznimno složen zahvat na torakalnoj i abdominalnoj aorti, čime je, kako navode iz ove zdravstvene ustanove, napravljen značajan iskorak u području intervencijske radiologije i vaskularne medicine u Bosni i Hercegovini.
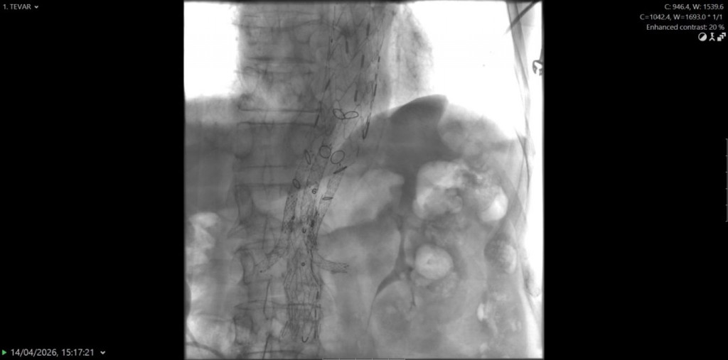
Riječ je o proceduri poznatoj kao BEVAR (branched endovascular aortic repair), koja je primijenjena kod pacijenta s istodobnom aneurizmom i disekcijom torakalne aorte, životno ugrožavajućim stanjima koja zahtijevaju visoko specijaliziran pristup.
Zahvat je izveden 14. travnja, a proveli su ga specijalisti radiologije uz sudjelovanje kardiovaskularnih kirurga, uz stručnu podršku kolega iz KBC Osijek.
Prvi put u BiH
Ono što ovaj medicinski zahvat čini posebno značajnim jest činjenica da je riječ o prvom takvom zahvatu izvedenom u Bosni i Hercegovini.
Iz SKB Mostar ističu kako time potvrđuju sposobnost praćenja suvremenih svjetskih trendova u minimalno invazivnom liječenju složenih kardiovaskularnih bolesti.

Voditelj Kliničkog odjela za vaskularnu i intervencijsku radiologiju dr. Gojko Bogdan pojasnio je kako ovakvi zahvati zahtijevaju koordinaciju multidisciplinarnog tima.
"Ovakvi zahvati predstavljaju vrhunac suvremene endovaskularne medicine i zahtijevaju iznimnu koordinaciju multidisciplinarnog tima koji uključuje interventne radiologe, kardiokirurge, vaskularne kirurge, anesteziologe, inženjere radiologije, instrumentarke i anestezičare. Tijekom zahvata ugrađena su ukupno tri stenta duž aorte, od arterije subklavije do bifurkacije aorte. Kako bi se osigurala adekvatna prokrvljenost vitalnih organa, postavljen je posebno dizajniran stent s otvorima za bubrežne arterije te arterije koje opskrbljuju crijeva", rekao je Bogdan.
Dodao je kako se pacijent nakon zahvata osjeća dobro.
"Ovo predstavlja velik iskorak za domaći zdravstveni sustav, ali i za pacijente kojima su ovakve metode liječenja do sada bile dostupne uglavnom u inozemstvu. Ponosni smo što smo ovu proceduru prvi put uspješno izveli u Bosni i Hercegovini, čime smo otvorili nove mogućnosti liječenja", zaključio je.